El Centro de Medicina Embrionaria (CME) ha logrado el nacimiento del primer bebé en Europa libre del síndrome CACH, una enfermedad neurológica hereditaria progresiva rara, que pertenece al grupo de las leucodistrofias, según ha informado el centro.
Los investigadores han utilizado el diagnóstico genético preimplatacional (DGP) para seleccionar un embrión libre de la enfermedad de la que son portadores los padres de Aina, que nació sana y ahora tiene 17 meses, después de que una hermana mayor suya muriera por el citado síndrome a los 2 años de edad.
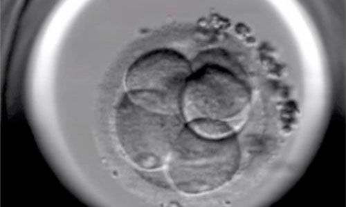
La pareja se sometió a una fecundación 'in vitro' con diagnóstico genético preimplatacional en el centro de esterilidad y medicina de la reproducción Esimer con el fin de tener un segundo hijo, pero esta vez libre de la enfermedad.
Los embriones obtenidos en el laboratorio se estudiaron genéticamente y se implantaron en la madre sólo aquellos que no estaban afectados por la enfermedad, lo que se consiguió después de tres ciclos de tratamiento.
La directora del CME, Esther Velilla, ha significado que es "el primer caso de DGP reportado en Europa para esta enfermedad, y el primero en el mundo para este gen (EIF2B4), que ambos progenitores presentaban mutado".






